患者谭某,2023年7月出现腹痛,腹胀,消瘦,间断性加重,8月下旬湖北省肿瘤医院,CT诊断考虑为肝S4段肝癌伴肝内转移,门静脉右前段分支及肝中静脉受侵闭塞;肝门区及腹膜后多发淋巴结转移,肝硬化,脾大,食管静脉曲张,腹腔积液。
既往有长期大量饮酒史,无肝炎病史。
2023年9月4日 入我院检查:
WBC:3.08*10^9/L; RBC:2.37*10^12/L; HGB:79.2g/L; PLT:40.0*10^9/L;
ALT:13U/L; AST:34U/L; GGT:319U/L; ALP:281U/L; ALB:31.5g/L;
TBIL:43.2μmol/L;DBIL:20.3μmol/L; CHE:1708U/L
AFP:727.40ng/ml PIVKA-II:20.32ng/ml
HBsAg(-) HCVAb(-)
PT:15.9s PTA%:53.00%;
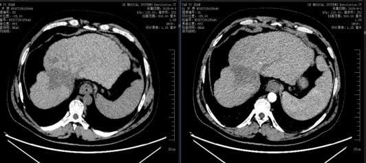
省肿瘤医院CT图像:

患者入院中医诊断:肝癌,肝郁气滞,
西医诊断:1,原发性肝癌;2,酒精性肝硬化失代偿期
基础治疗:护肝,利尿,血浆
止疼:氨酚羟考酮
中药:外敷,内服(扶正祛邪,软坚散结)
木香15g,太子参15g, 茯苓24g,砂仁12g,
麸炒枳壳15g,炙甘草12g,陈皮30g,醋延胡索24g,
麸炒白术15g,秦皮15g,苏木15g,浙贝15g,
海螵蛸(乌贼骨)24g,
靶向治疗:2023.09.19:甲磺酸仑伐替尼8mg,po.qd
免疫治疗:2023.09.23:信迪利单抗200mg,ivdrip,q3w
2023.09.18复查
ALB:36.1g/L,TBIL73.8μmol/L; DBIL:34.5μmol/L; IBIL:39.3μmol/L; CHE:2678U/L
AFP:511.00ng/ml; PIVKA-II:16.80ng/ml;
2023.09.25复查
ALB:36.8g/L; TBIL:106.3μmol/L; DBIL:48.6μmol/L; IBIL:57.7μmol/L;CHE:2576U/L;
2023.10.18复查
ALB:32.4g/L; TBIL:47.8μmol/L; DBIL17.2μmol/L; CHE:1983U/L;
AFP:35.25ng/ml;PIVKA-II:2.24ng/ml
PT:16.3s; PTA%:51.00%;
2023.10.19复查肝脏CT提示:肝脏左右叶比例失调,肝裂增宽,肝S4段见巨大实性不规则团块状低密度影,最大截面约9.3*7.2cm,增强后无明显强化,其周围并伴相似性质结节影,肝动脉左侧枝及门静脉左侧枝受压,右动脉S8段分支、门静脉右前段分支及肝中静脉显示不明显,脾大,密度均匀,未见异常强化,脾脏周围及食管静脉曲张

患者经治疗后病情明显缓解,继续维持中医药及靶免联合治疗,定期复查。
2025.08.02复查ALT:14U/L; AST:22U/L; ALB:37.5g/L; TBIL:30.4μmol/L; AFP:2.15ng/mL; PIVKA-II:12.21ng/ml; PT:15.1s; PT%:67.00%;
2025.08.03复查CT提示:肝脏左右叶比例失调,肝裂增宽,肝右叶见不规则团块状、结节状低密度影,整体最大截面约70mmX63mm,局部肝包膜内陷,增强病灶无明显强化,较前次片无明显变化。门静脉增宽,食管胃底静脉、脾静脉、脐静脉等迂曲扩张,未见明显充盈缺损,可见脾肾分流。脾大,密度均匀,未见异常强化,较前次片相仿。

结语:患者因酒精性肝硬化失代偿,并原发性肝癌入院,已无外科手术指征,给以护肝,对症支持治疗,中西医结合治疗,病给以仑伐替尼及信迪利单抗靶免治疗1月后可见肿瘤明显缓解,巩固治疗2年,目前病情稳定,肿瘤以完全缓解,CT检查未见肝癌的强化表现。肝功能恢复正常,体现中医药联合靶免治疗肿瘤的明显疗效。
上一篇:王xx患乙肝肝硬化痊愈验案
下一篇: